7 Loại Bệnh Răng Miệng Thường Gặp Nhất Hiện Nay
Các loại bệnh răng miệng khác nhau được phân loại dựa vào nguyên nhân gây bệnh và một số yếu tố khác. Bệnh răng miệng nếu không điều trị kịp thời có thể gây ra các biến chứng nghiêm trọng hơn.
Các bệnh lý răng miệng thường không chừa bất kỳ đối tượng nào và thường gặp ở hầu hết các độ tuổi. Chúng rất đa dạng như: hội chứng rối loạn thái dương hàm, sứt mẻ răng cho đến bệnh nướu răng hay hơi thở có mùi... Đây là những căn bệnh chuyên khoa nhưng ít được quan tâm nên dễ bị bỏ qua nhưng nếu không phát hiện và điều trị kịp thời sẽ ảnh hưởng đến sức khỏe và chất lượng cuộc sống.
1. Bệnh TMJ
Bệnh TMJ haycòn gọi là hội chứng rối loạn thái dương hàm (temporomandibular joint syndrome). Đây là tình trạng khớp giữa hàm trên và hàm dưới không hoạt động đúng chức năng của nó.
Khớp thái dương hàm là một trong những khớp phức tạp nhất của cơ thể, đảm nhận chức năng vận động giúp hàm dưới chuyển động ra vào, tiến lùi nhịp nhàng. Bất cứ trục trặc nào đều gọi là rối loạn thái dương hàm, khi mắc bệnh người trong cuộc thường cảm thấy có tiếng kêu lốp cốp, hay tiếng lục cục, thậm chí còn bị kẹt khi vận động hàm. Hiện vẫn chưa thể xác định được nguyên nhân chính xác của hội chứng này, tuy nhiên nguyên nhân lớn nhất là do sai khớp cắn làm hàm không chuyển động đúng chu kỳ, lâu ngày dẫn đến xơ hóa một vùng nào đó trong phạm vị khớp.
Bệnh TMJ thường phát sinh đau đầu, đau khi ngáp, khi há miệng hoặc khi nhai, hàm bị kẹt, bị đơ cứng hoặc đưa ra trước, suy yếu cơ hàm… Điều trị rất đa dạng như: Điều chỉnh khớp cắn cho đúng, nghỉ ngơi, dùng nhiệt ẩm hay dùng các thuốc như: thuốc giãn cơ, aspirin hoặc những chất giảm đau không cần kê toa, thuốc kháng viêm hoặc phẫu thuật.
2. Bệnh sứt mẻ răng

Sứt mẻ răng, mòn rạn men răng là căn bệnh khá phổ biến. Thủ phạm chính là do axít, nó thẩm thấu vào thành phần khoáng của răng, làm mềm men răng khiến men răng dễ bị mòn vẹt và rạn nứt, sâu răng và gây hiện tượng răng mẫn cảm thái quá với thức ăn nóng, lạnh. Để hạn chế, nên giảm bớt thực phẩm có chứa nhiều axít như: nước uống có ga, nước tăng lực, trà đặc… Nếu sứt mẻ răng kèm ngứa lợi thì có thể là triệu chứng của viêm lợi, nên đến gặp bác sĩ nha khoa khám và tư vấn và khắc phục kịp thời, nhằm hạn chế những tổn thương vĩnh viễn.
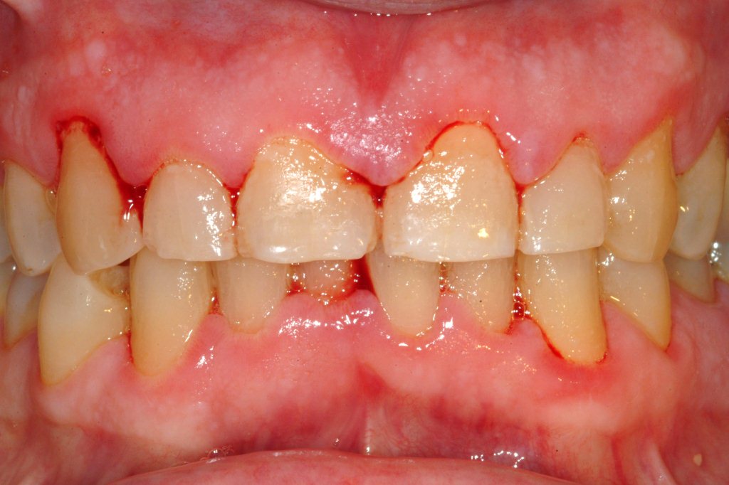
3. Bệnh nướu răng
Bênh nướu răng là một trong những bệnh răng lợi phổ biến và nguy hiểm gây suy yếu sức khỏe răng và gây rụng răng. Nguyên nhân gây bệnh nướu răng thường do vi khuẩn tích tụ bám quanh đường viền nướu. Viêm nướu là giai đoạn đầu của bệnh nướu răng. Các triệu chứng bao gồm: sưng tấy đỏ, và chảy máu chân răng, lung lay răng, hôi miệng... Vệ sinh răng miệng đúng cách và thực hiện cạo vôi răng định kỳ có thể giúp ngăn ngừa bệnh nha chu. Không nên hút thuốc lá, ăn uống đủ chất, giảm stress và tránh vật cay nóng. Khi mắc bệnh nên đi khám, điều trị càng sớm càng tốt.
4. Viêm nha chu

Giai đoạn tiếp theo của bệnh nướu răng là viêm nha chu, hoặc nhiễm trùng nướu. Viêm nướu răng thường gây tụt lợi, tạo thành túi rỗng giữa răng và nướu. Các túi rỗng này tích tụ cao răng, mảng bựa răng và thực phẩm dư thừa dẫn đến nhiễm trùng và áp-xe. Bệnh tiến triển gây ảnh hưởng đến răng và là nguyên nhân hàng đầu gây rụng răng ở người lớn. Nha chu nhẹ co thể điều trị bằng phương pháp cạo vôi răng nếu nặng hơn có thể phải nạo nang, làm sach vùng viêm và điều trị phục hồi.
5. Sâu răng, áp-xe, răng biến màu
Nguyên nhân chủ yếu vẫn là do quá trình vệ sinh răng miệng không đảm bảo. Viêm tủy lâu ngày biến chứng gây nên áp-xe, răng bị bệnh lý không điều trị kịp thời có thể gây ảnh hưởng đến các răng khác. Dùng chỉ nha khoa và đánh răng hàng ngày, đi khám nha khoa thường xuyên giúp ngăn ngừa các vấn đề như: sâu răng, áp-xe, và răng màu răng. Khi mắc các loại bệnh này không nên xem thường bởi nhiễm trùng răng miệng có thể lây lan vào mặt, xương sọ, và thậm chí vào máu.
6. Chứng hôi miệng
Chứng hôi miệng là căn bệnh gây phiền toái cho nhiều người, và do nhiều nguyên nhân như thức ăn dư thừa tích tụ bám vào các kẽ chân răng, do răng khôn mọc lệch, sâu răng, viêm nha chu, viêm họng, viêm mũi họng, viêm amiđan hốc, viêm dạ dày, viêm thực quản, khô miệng, sức khỏe yếu, do vệ sinh răng miệng kém… Cần phân biệt mùi hôi trong khoang miệng, khi thở ra bằng mũi vẫn có mùi hôi. Để khắc phục, nên vệ sinh răng miệng thường xuyên, duy trì chế độ ăn uống khoa học, hợp lý và đủ chất, tránh dùng thực phẩm dễ gây mùi. Nếu đi khám và điều trị theo nguyên nhân cụ thể và dùng thuốc theo khuyến cáo của bác sĩ.

7. Bệnh “da gà” trên mặt lưỡi
Bệnh “da gà” trên mặt lưỡi là cách gọi theo dân gian để nói về những nốt phồng vô hại nhỏ li ti trên bề mặt lưỡi, tuy không ảnh hưởng đến sức khỏe nhưng gây đau, khó chịu cho người bệnh. Nguyên nhân gây căn bệnh đến nay y học vẫn chưa biết hết, có thể do phản ứng đối với thực phẩm hoặc chấn thương lưỡi, cắn vào lưỡi. Đôi khi bệnh tự khỏi sau vài ngày, nếu cần có thể dùng thuốc giảm đau. Trường hợp nếu lâu ngày không khỏi nên khám và điều trị ngay
Nếu cần thêm bất cứ sự tư vấn nào về bệnh răng miệng, bạn có thể liên hệ tới Nha khoa THÀNH CÔNG theo các thông tin dưới đây, bác sỹ sẽ tư vấn tận tình giúp cho bạn
NHA KHOA THÀNH CÔNG 108
Địa Chỉ: 6B Trần Hưng Đạo, Hoàn Kiếm, Hà Nội
Dr. Thành Công - Hotline: 0913 000 304


Viết bình luận: